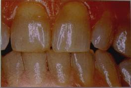
Before |
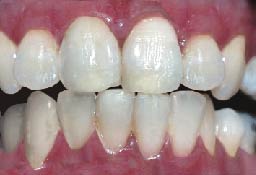
One hour later |
![]() |
![]() |
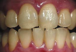
The results seen here are typical of one treatment with the Smartbleach® system.
Before One hour later


If you would like to know more
contact your nearest Smartbleach® authorised dentist on:
1800 253 224
1800 (BLEACH) (Australia only)
Smartbleach® continues its proven teeth whitening performance with the release of the Smartbleach® 3LT.
There are Smartbleach® Dentists right across Australia. Find your nearest location where you can experience Smartbleach.
Click here to find teeth whitening Dentists...